Items filtered by date: September 2025
Achilles Tendon Injury Symptoms
The Achilles tendon is a band of tissue that connects the muscles in your calf to your heel. Injuries to this tissue can be common, especially among athletes. The typical symptoms of an Achilles tendon injury can include pain down the back of your leg near your heel, pain that worsens with activity, stiffness or soreness in the Achilles tendon upon waking, pain in the tendon the day after exercising, swelling that worsens with activity, thickening of the tendon, bone spurs on the heel bone, and difficulty flexing the affected foot. If you are injured and hear a popping sound, followed by a sudden, sharp pain, this could be indicative of an Achilles tendon rupture. If you are experiencing any of these symptoms, please consult with a podiatrist.
Achilles tendon injuries need immediate attention to avoid future complications. If you have any concerns, contact one of our podiatrists of Summerlin Foot & Ankle. Our doctors can provide the care you need to keep you pain-free and on your feet.
What Is the Achilles Tendon?
The Achilles tendon is a tendon that connects the lower leg muscles and calf to the heel of the foot. It is the strongest tendon in the human body and is essential for making movement possible. Because this tendon is such an integral part of the body, any injuries to it can create immense difficulties and should immediately be presented to a doctor.
What Are the Symptoms of an Achilles Tendon Injury?
There are various types of injuries that can affect the Achilles tendon. The two most common injuries are Achilles tendinitis and ruptures of the tendon.
Achilles Tendinitis Symptoms
- Inflammation
- Dull to severe pain
- Increased blood flow to the tendon
- Thickening of the tendon
Rupture Symptoms
- Extreme pain and swelling in the foot
- Total immobility
Treatment and Prevention
Achilles tendon injuries are diagnosed by a thorough physical evaluation, which can include an MRI. Treatment involves rest, physical therapy, and in some cases, surgery. However, various preventative measures can be taken to avoid these injuries, such as:
- Thorough stretching of the tendon before and after exercise
- Strengthening exercises like calf raises, squats, leg curls, leg extensions, leg raises, lunges, and leg presses
If you have any questions please feel free to contact our office located in Las Vegas, NV . We offer the newest diagnostic tools and technology to treat your foot and ankle needs.
Heel Pain Can Be Treated!
Common Foot Problems in Seniors

As people age, foot problems become more common and can affect mobility and quality of life. Arthritis leads to joint stiffness, swelling, and pain that limit movement. Bunions cause a bony bump on the side of the big toe, leading to discomfort and difficulty finding proper shoes. Plantar fasciitis results in sharp heel pain, especially with the first steps in the morning. Additionally, diabetic foot problems may include numbness, poor circulation, and wounds that heal slowly, increasing the risk of infection. A podiatrist can help by diagnosing these conditions, providing custom treatments, recommending supportive footwear, and preventing complications. If you are elderly and foot pain or changes in your feet are interfering with daily activities, it is suggested that you promptly consult a podiatrist who can guide you toward effective relief solutions.
Proper foot care is something many older adults forget to consider. If you have any concerns about your feet and ankles, contact one of our podiatrists from Summerlin Foot & Ankle. Our doctors can provide the care you need to keep you pain-free and on your feet.
The Elderly and Their Feet
As we age we start to notice many changes in our body, but the elder population may not notice them right away. Medical conditions may prevent the elderly to take notice of their foot health right away. Poor vision is a lead contributor to not taking action for the elderly.
Common Conditions
- Neuropathy – can reduce feeling in the feet and can hide many life-threatening medical conditions.
- Reduced flexibility – prevents the ability of proper toenail trimming, and foot cleaning. If left untreated, it may lead to further medical issues.
- Foot sores – amongst the older population can be serious before they are discovered. Some of the problematic conditions they may face are:
- Gouging toenails affecting nearby toe
- Shoes that don’t fit properly
- Pressure sores
- Loss of circulation in legs & feet
- Edema & swelling of feet and ankles
Susceptible Infections
Diabetes and poor circulation can cause general loss of sensitivity over the years, turning a simple cut into a serious issue.
If you have any questions, please feel free to contact our office located in Las Vegas, NV . We offer the newest diagnostic and treatment technologies for all your foot care needs.
Living With Bunions

A bunion is a bony bump that forms at the base of the big toe when the joint shifts out of alignment. Over time, the top of the big toe leans toward the second toe, creating pressure and pain that can interfere with daily activities. Bunions often become irritated by shoes, leading to redness, swelling, and soreness along the side of the foot. Some people also notice thickened skin or corns where the toes rub together. The causes are often a mix of inherited foot structure, years of pressure from footwear, and conditions such as arthritis. While wide shoes and padding may ease discomfort, they do not stop the bunion from progressing. Severe cases may require surgery to correct the joint and restore function. If you are experiencing ongoing pain from a bunion, it is suggested that you see a podiatrist for evaluation and appropriate treatment.
If you are suffering from bunion pain, contact one of our podiatrists of Summerlin Foot & Ankle. Our doctors can provide the care you need to keep you pain-free and on your feet.
What Is a Bunion?
Bunions are painful bony bumps that usually develop on the inside of the foot at the joint of the big toe. As the deformity increases over time, it may become painful to walk and wear shoes. Women are more likely to exacerbate existing bunions since they often wear tight, narrow shoes that shift their toes together. Bunion pain can be relieved by wearing wider shoes with enough room for the toes.
Causes
- Genetics – some people inherit feet that are more prone to bunion development
- Inflammatory Conditions - rheumatoid arthritis and polio may cause bunion development
Symptoms
- Redness and inflammation
- Pain and tenderness
- Callus or corns on the bump
- Restricted motion in the big toe
In order to diagnose your bunion, your podiatrist may ask about your medical history, symptoms, and general health. Your doctor might also order an x-ray to take a closer look at your feet. Nonsurgical treatment options include orthotics, padding, icing, changes in footwear, and medication. If nonsurgical treatments don’t alleviate your bunion pain, surgery may be necessary.
If you have any questions, please feel free to contact our office located in Las Vegas, NV . We offer the newest diagnostic and treatment technologies for all your foot care needs.
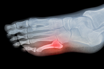
Types of 5th Metatarsal Fractures

A fracture of the 5th metatarsal, the long bone on the outside of the foot that connects to the little toe, can occur in several locations and patterns. One common type is an avulsion fracture, where a tendon or ligament pulls off a small piece of bone near the base of the metatarsal. Another type is a Jones fracture, which occurs slightly farther along the base, and is known for slower healing due to limited blood flow in that region. Additionally, a dancer’s fracture is an oblique break through the shaft of the bone, often caused by twisting or an awkward landing. These 5th metatarsal injuries typically result in pain, swelling, bruising, and difficulty walking. Proper diagnosis with imaging is important to distinguish between the types, as each can require a different treatment approach. A podiatrist can evaluate the extent of the injury and recommend immobilization or surgery, when necessary. If you believe you may have fractured a bone in your foot, it is suggested that you schedule an appointment with a podiatrist for an exam and appropriate treatment solutions.
A broken foot requires immediate medical attention and treatment. If you need your feet checked, contact one of our podiatrists from Summerlin Foot & Ankle. Our doctors can provide the care you need to keep you pain-free and on your feet.
Broken Foot Causes, Symptoms, and Treatment
A broken foot is caused by one of the bones in the foot typically breaking when bended, crushed, or stretched beyond its natural capabilities. Usually the location of the fracture indicates how the break occurred, whether it was through an object, fall, or any other type of injury.
Common Symptoms of Broken Feet:
- Bruising
- Pain
- Redness
- Swelling
- Blue in color
- Numbness
- Cold
- Misshapen
- Cuts
- Deformities
Those that suspect they have a broken foot shoot seek urgent medical attention where a medical professional could diagnose the severity.
Treatment for broken bones varies depending on the cause, severity and location. Some will require the use of splints, casts or crutches while others could even involve surgery to repair the broken bones. Personal care includes the use of ice and keeping the foot stabilized and elevated.
If you have any questions, please feel free to contact our office located in Las Vegas, NV . We offer the newest diagnostic and treatment technologies for all your foot care needs.
Dealing With Plantar Fasciitis

Plantar fasciitis is a common cause of heel pain, often felt as a sharp, stabbing sensation, especially with the first steps in the morning. It occurs when the plantar fascia, the thick band of tissue connecting the heel to the toes, becomes inflamed due to overuse, poor footwear, flat feet, or high arches. Patients may notice swelling, redness, or tightness in the arch or heel. A podiatrist can accurately diagnose plantar fasciitis through a physical exam and imaging if needed. Traditional treatments include rest, stretching exercises, or orthotics. Each case is unique, and the right treatment plan can greatly improve comfort and mobility. If you are experiencing heel pain or suspect plantar fasciitis, it is suggested that you make an appointment with a podiatrist for expert evaluation and care.
Plantar fasciitis can be very painful and inconvenient. If you are experiencing heel pain or symptoms of plantar fasciitis, contact one of our podiatrists from Summerlin Foot & Ankle. Our doctors can provide the care you need to keep you pain-free and on your feet.
What Is Plantar Fasciitis?
Plantar fasciitis is the inflammation of the thick band of tissue that runs along the bottom of your foot, known as the plantar fascia, and causes mild to severe heel pain.
What Causes Plantar Fasciitis?
- Excessive running
- Non-supportive shoes
- Overpronation
- Repeated stretching and tearing of the plantar fascia
How Can It Be Treated?
- Conservative measures – anti-inflammatories, ice packs, stretching exercises, physical therapy, orthotic devices
- Shockwave therapy – sound waves are sent to the affected area to facilitate healing and are usually used for chronic cases of plantar fasciitis
- Surgery – usually only used as a last resort when all else fails. The plantar fascia can be surgically detached from the heel
While very treatable, plantar fasciitis is definitely not something that should be ignored. Especially in severe cases, speaking to your doctor right away is highly recommended to avoid complications and severe heel pain. Your podiatrist can work with you to provide the appropriate treatment options tailored to your condition.
If you have any questions, please feel free to contact our office located in Las Vegas, NV . We offer the newest diagnostic and treatment technologies for all your foot care needs.


